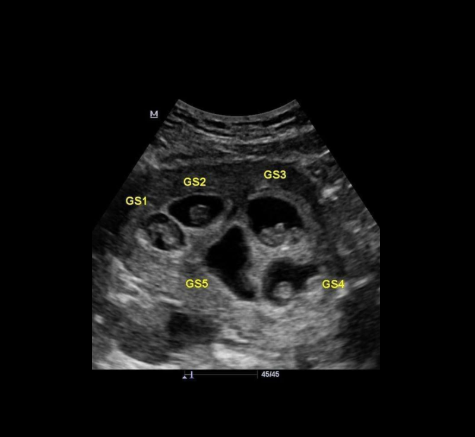
ЭЕРЭГ: Монголын анхны таван ихэр хүүхэд удахгүй мэндэлнэ
ad

Сэтгэгдэл бичих

Мэдээ байхгүй байна.

Бусад мэдээ